Worn out teeth made new & beautiful

Blog
Worn out teeth made new & beautiful
“Worn out teeth made new & beautiful” “घिसे हुए दाँत नए और सुंदर बनाए गए”
Case Done By Dr. Y K Virmani more than 16 years back
“केस डॉ. वाई के विरमानी द्वारा 16 से अधिक साल पहले किया गया।”
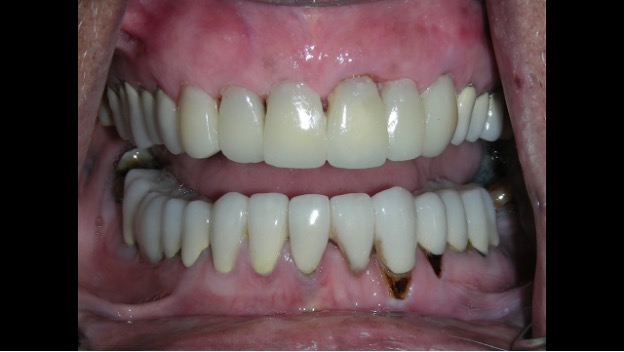
Mr. N S  —  Complaint
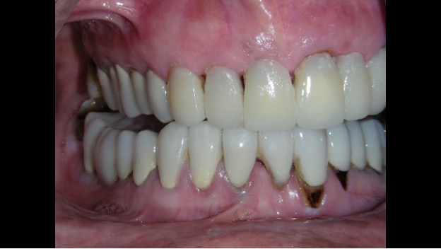
 “ My Lower front teeth hurt the upper gums, the teeth are broken, sharp, I find difficulty in eating, and I do not like my looks, as a result, I smile less
Should I get all the teeth removed and replace them with dentures, or should I get some crowns on my front teeth? ”
श्री एन एस – शिकायत
“मेरे निचले सामने के दांत ऊपरी मसूड़ों को चोट पहुँचाते हैं, दांत टूटे हुए हैं, तीखे हैं, मुझे खाने में कठिनाई होती है और मुझे अपनी शक्ल पसंद नहीं है, नतीजतन मैं कम मुस्कुराता हूँ।
क्या मुझे सारे दांत निकलवाकर उनकी जगह नकली दांत लगवा लेना चाहिए या फिर अपने आगे के दांतों पर क्राउन लगवा लेना चाहिए?
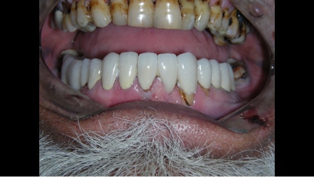
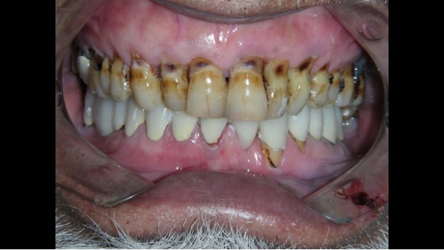
On Examination–
Generalized wear of teeth with lower front teeth hitting in the upper gum and upper also hurting the outer side of the lower gum. Shall require full mouth treatment.
X-ray OPG and Upper Lower Impressions for wax mockup and treatment planning.
 
जांच पर–
दांतों का घिसाव, जिसमें निचले सामने के दांत ऊपरी मसूड़े में टकराते हैं और ऊपरी दांत निचले दांतों के बाहरी मसूड़े  हिस्से को भी चोट पहुंचाते हैं। पूरे मुंह के उपचार की आवश्यकता होगी।
वैक्स मॉक अप और उपचार योजना के लिए एक्सरे ओपीजी और ऊपरी निचले इंप्रेशन (नाप)
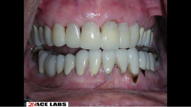
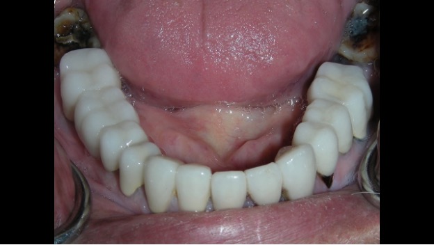
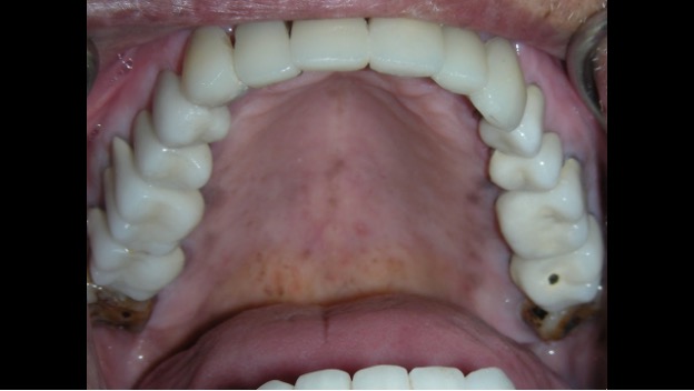
U/L Model wax up done and OPG Seen   —–  PLAN
No removal of teeth, all the present teeth to be preserved.
To correct or increase the height of even one tooth, we have to do all; otherwise, the others will not meet.
ADV Full mouth treatment at raised height  by doing crowns
Re-establish height and make teeth functional & good looking
 
मॉडल वैक्स अप किया गया और ओपीजी देखा गया —– योजना
दांतों को नहीं हटाया जाएगा, सभी मौजूदा दांतों को सुरक्षित रखा जाएगा
एक दांत की ऊंचाई को ठीक करने या बढ़ाने के लिए हमें सभी दांतों को ठीक करना होगा, अन्यथा बाकी दांत नहीं मिलेंगे
मुंह के पूरे हिस्से का उपचार क्राउन लगाकर ऊंचाई बढ़ाकर किया जाएगा
ऊंचाई को फिर से स्थापित किया जाएगा और दांतों को कार्यात्मक और सुंदर बनाया जाएगा



Total cost involved
Diagnostic and treatment planning =
21 crowns =
6 Veneers =
Night guard =
Total
If any RCT is needed then it additional cost
कुल लागत
निदान और उपचार योजना =
21 कैप =
6 वीनियर =
नाइट गार्ड =
कुल
यदि किसी RCT की आवश्यकता है तो यह अतिरिक्त लागत है







Comments are closed.